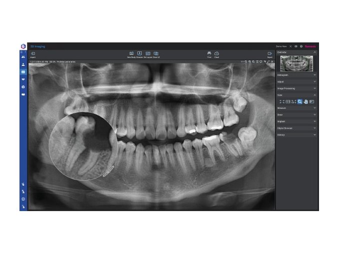
Planmeca Romexis 2D
Popis
Náš pokročilý software Planmeca Romexis® nabízí nejuniverzálnější nástroje pro 2D zobrazování. Diagnostikujte snímky pomocí celé škály nástrojů pro jejich vylepšení – nebo si je prohlížejte kdekoli pomocí našich mobilních aplikací. Tento flexibilní zobrazovací software se přizpůsobí vašim potřebám a společně s vaší praxí se rozroste i do třetího rozměru.
Optimální rentgenové snímky
Modul pro 2D zobrazování v softwaru Romexis je ideální pro rychlé a snadné pořizování a diagnostiku snímků. Díky adaptivním předzpracovacím filtrům jsou všechny rentgenové snímky pořízeny přesně tak, jak mají – ať už se jedná o panoramatické, intraorální nebo kefalometrické snímky.
Jednoduché a výkonné nástroje
Romexis je preferovaný software pro prohlížení a zpracování 2D snímků pořízených rentgenovými přístroji Planmeca. Díky intuitivnímu rozhraní nabízí vynikající uživatelský komfort od prvního dne a obsahuje výkonné nástroje pro vylepšení, analýzu a diagnostiku pro všechna stomatologická zaměření.
Intraorální zobrazovací pracovní postup
Od bite-wing snímků až po šablony celého chrupu – Romexis plně podporuje inteligentní 2D intraorální pracovní postup. Přizpůsobitelné šablony umožňují automatické řazení a číslování zubů na snímcích. Při použití s intraorálním rentgenem Planmeca ProX™ a senzorem Planmeca ProSensor® HD se navíc automaticky zaznamenávají všechny expoziční hodnoty. Při použití ovladače TWAIN lze využít také senzory a skenery PSP třetích stran.
Flexibilní vyhledávání a tvorba zpráv
Snímky v databázi Romexis lze vyhledávat podle jména pacienta, typu diagnózy nebo obsluhy rentgenového přístroje. Snadno lze také vytvářet profesionální, kvalitní výtisky a radiologické zprávy pro odesílající stomatology – s podporou vícestránkových dokumentů. K pacientským záznamům lze flexibilně přidávat přílohy, jako jsou kefalometrické zprávy nebo doporučující dopisy.
Ukládání fotografií a videí
Všechny fotografie, videa a dokumenty pacienta lze pohodlně ukládat do databáze Romexis společně s pořízenými rentgenovými snímky. Můžete vytvářet šablony a pořizovat pacientské fotografie, stejně jako připojit digitální fotoaparáty nebo skenery prostřednictvím rozhraní TWAIN.
Integrace se službou Second Opinion®
Romexis zahrnuje bezproblémovou integraci se službou Second Opinion® – prvním zubním AI nástrojem v reálném čase, který automaticky detekuje řadu nálezů na dentálních rentgenových snímcích a poskytuje zubním lékařům „druhý pár očí“ pro maximální radiologickou přesnost. Všechny anotace a nálezy generované službou Second Opinion se zobrazují a ukládají přímo do systému Romexis. Snímky lze do služby odesílat na vyžádání nebo automaticky při každém novém pořízení. Služba podporuje všechny intraorální a panoramatické rentgeny.
Roste spolu s vaší klinikou
Modul pro 2D zobrazování je základem softwaru Romexis, protože je součástí všech našich softwarových balíčků. Modul pro návrh úsměvu, 3D zobrazování nebo dokonce CAD/CAM lze kdykoli snadno doplnit – což vám umožní rozvíjet vaši kliniku flexibilně a vlastním tempem.
Buďte první, kdo napíše příspěvek k této položce.
Pouze registrovaní uživatelé mohou vkládat příspěvky. Prosím přihlaste se nebo se registrujte.
