Získejte jistotu v práci se zubním zobrazovacím softwarem Planmeca Romexis® a připojte se k naší exkluzivní sérii webinářů, která startuje v lednu 2026. Webináře probíhají každé dva týdny a pomohou vám pracovat efektivněji a s větší jistotou – bez ohledu na vaši dosavadní úroveň zkušeností se softwarem.
Pět webinářů každé dva týdny – jeden lektor
Každé dva týdny máte možnost zúčastnit se hodinového webináře a naučit se, jak ze softwaru Romexis® vytěžit maximum. Webináře povede Saila Parmes, Sales Manager pro softwarová řešení ve společnosti Planmeca, a krok za krokem vás provede nejdůležitějšími a nejpoužívanějšími nástroji. Témata zahrnují 2D a 3D zobrazování, plánování implantátů, ortodontickou léčbu i CMF chirurgii. Po každém webináři je samozřejmě vyhrazen prostor pro dotazy.
Naučte se pracovat s nástroji pro 3D zobrazování
Středa 14. ledna 2026, 9:00–10:00 CET
Naučte se, jak ze svých CBCT dat vytěžit maximum pomocí intuitivních a pokročilých nástrojů softwaru Romexis®. Webinář vám mimo jiné ukáže, jak se orientovat ve 3D objemu, upravovat nastavení zobrazení, využívat umělou inteligenci pro segmentaci anatomie, automatické trasování nervů a napojení intraorálních skenů, provádět analýzu dýchacích cest, překrývat objemy a vytvářet analýzy TMK.
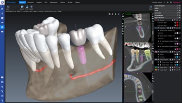
3D plánování implantátů a návrh chirurgických šablon
Středa 28. ledna 2026, 9:00–10:00 CET (v angličtině)
Naučte se, jak ze svých CBCT dat vytěžit maximum pomocí intuitivních a pokročilých nástrojů softwaru Romexis® určených pro plánování implantátů. Tento webinář se zaměří například na automatické návrhy implantátových plánů, návrh chirurgických šablon s využitím umělé inteligence a další AI nástroje, které umožňují dokončit celý proces implantologického plánování – od pořízení dat pacienta až po návrh chirurgické šablony – během několika minut.
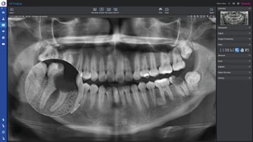
Naučte se pracovat s nástroji pro 2D zobrazování
Středa 11. února 2026, 9:00–10:00 CET (v angličtině)
Zjistěte, jak ze svých 2D pacientských dat vytěžit maximum pomocí intuitivních a pokročilých nástrojů zobrazovacího softwaru Romexis® pro intraorální RTG snímky, panoramatické snímky a fotografie pacientů. Webinář vás provede novými AI funkcemi Romexis® pro 2D intraorální snímky, správným nastavením a zobrazením pacientských snímků pro co nejlepší přehlednost – a mnohem více.
Naučte se pracovat s ortodontickými nástroji
Středa 25. února 2026, 9:00–10:00 CET (v angličtině)
Naučte se optimalizovat plánování ortodontické léčby pomocí intuitivních a pokročilých nástrojů softwaru Romexis® pro 2D cefalometrické snímky, 3D CBCT vyšetření a intraorální skeny. Webinář představí mimo jiné využití automatických AI analýz pro 2D i 3D snímky a intraorální skeny a také způsoby, jak pomocí nástrojů Romexis® zlepšit komunikaci s pacienty prostřednictvím simulace výsledků léčby a segmentace anatomie.
Naučte se pracovat s modulem CMF
Úterý 10. března 2026, 9:00–10:00 CET (v angličtině)
Naučte se, jak ze softwaru Romexis® vytěžit maximum při plánování ortognátní léčby pomocí intuitivních a pokročilých nástrojů určených pro CMF chirurgii. Webinář vám například ukáže, jak využívat automatické segmentace maxilofaciální anatomie založené na umělé inteligenci, automaticky spojovat CBCT data s intraorálními skeny a pracovat s průvodcem ortognátního plánování.
