Planmeca VISO G3
Popis
Všechny zobrazovací programy, které potebujete
Planmeca Viso® G3 je plně vybavená a komplexní 3D jednotka, která umožňuje snímkování všeho – od jednoho zubu až po celou čelist. Nabízí širokou škálu zobrazovacích programů od 3D dentálních a ORL snímků až po panoramatické zobrazení a kefalometrii.
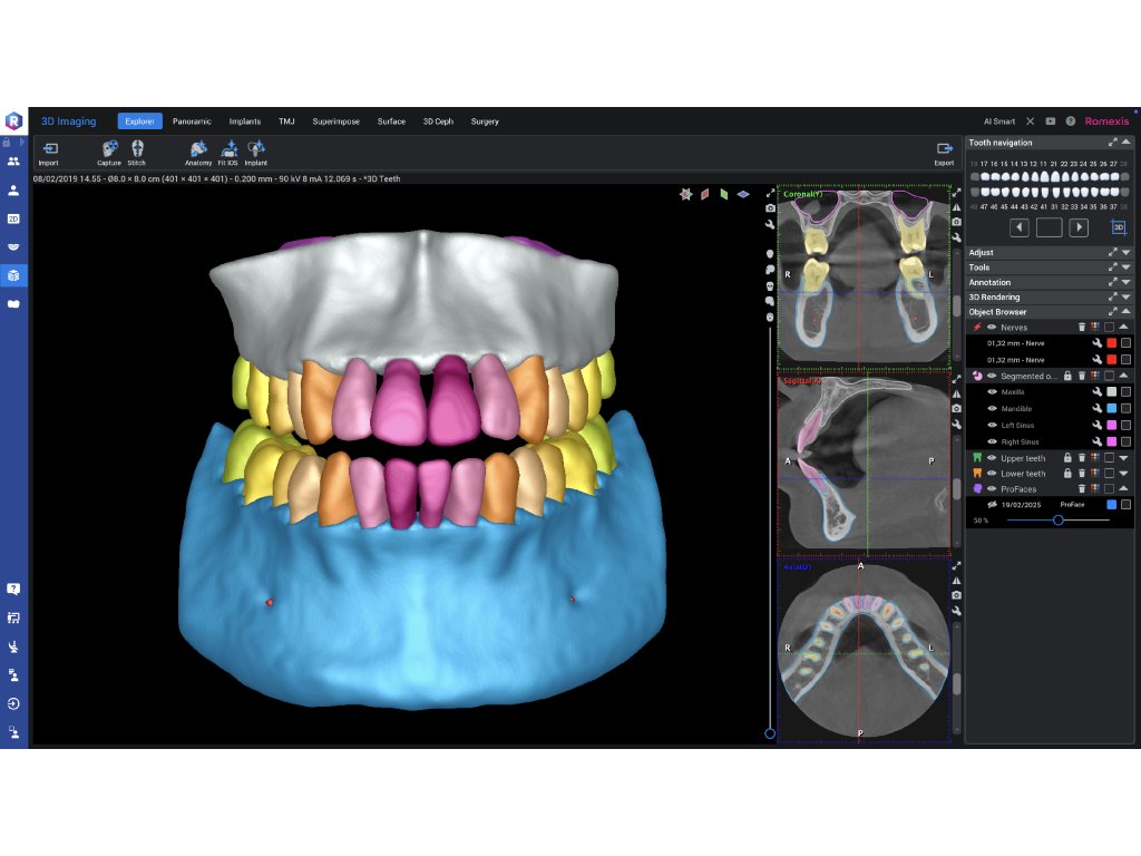
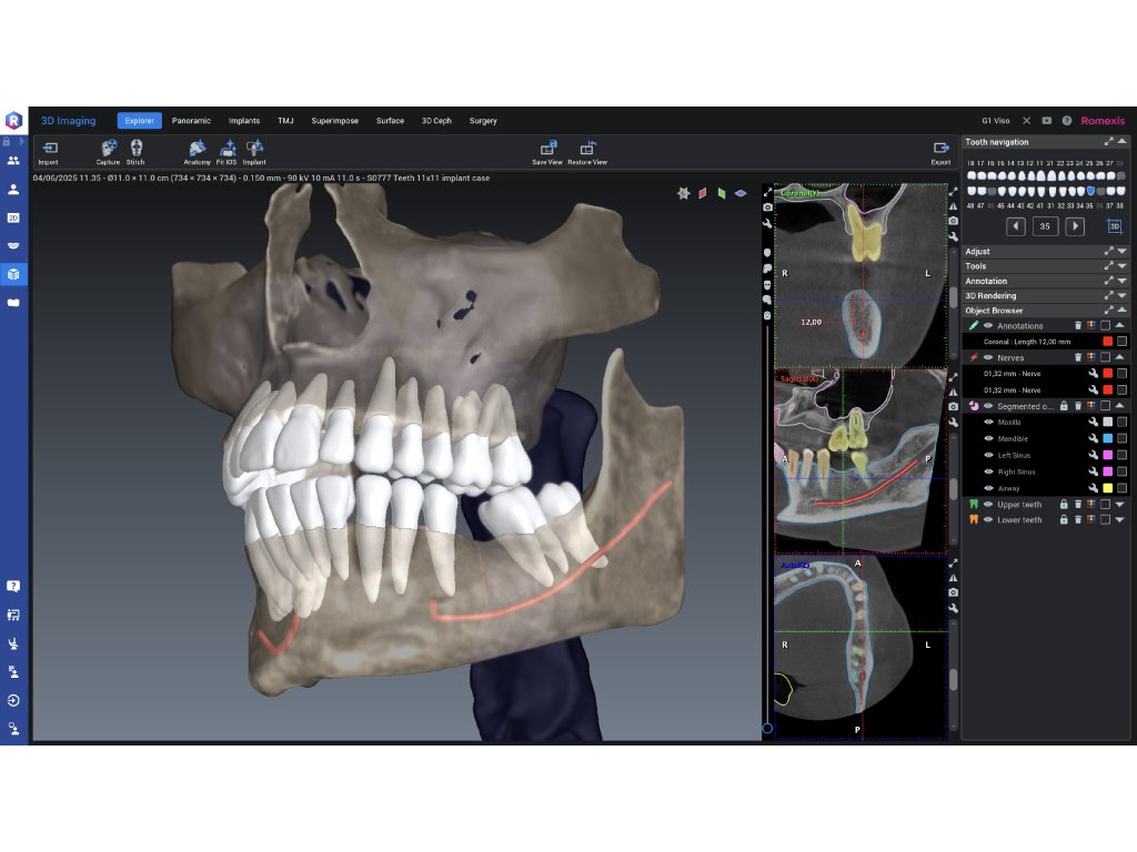
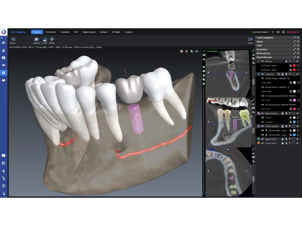
Chytrý software a pokročilé nástroje pro zpracování snímků
Stejně jako všechny zobrazovací systémy Planmeca Viso, i Planmeca Viso G3 disponuje řadou inovativních nástrojů a algoritmů, včetně unikátního protokolu Planmeca Ultra Low Dose™ pro snímkování s extrémně nízkou dávkou záření a funkce Planmeca CALM® pro korekci pohybových artefaktů. Zařízení je plně kompatibilní se softwarovým řešením Planmeca Romexis® – komplexním systémem pro digitální stomatologii.
Snadné polohování s živým náhledem na pacienta
Planmeca Viso G3 je vybavena vysoce kvalitním kamerovým systémem, který umožňuje zobrazit pacienta v reálném čase. Ať už pracujete přímo u přístroje nebo z pracovní stanice, živý náhled pacienta umožňuje přesně nastavit zorné pole (FOV) a volně upravovat snímaný objem. Otevřená konstrukce zároveň zajišťuje pohodlí pacienta a umožňuje mu být během snímkování otočen čelem k obsluze.
Endo režim pro precizní zobrazení
Využijte dokonale ostré a detailní snímky s velikostí voxelu 75 μm díky režimu Endo. Kvalitu obrazu lze dále optimalizovat pomocí nástroje Planmeca NOA™ – inteligentního systému pro redukci šumu založeného na umělé inteligenci, který zajišťuje maximálně čisté diagnostické snímky.
Optimalizovaná kvalita i pro náročné případy
Napětí rentgenky 120 kV zajišťuje optimální kvalitu snímků a je mimořádně užitečné i v náročnějších případech – snižuje vznik artefaktů a zachovává vynikající kvalitu obrazu i při snímkování pacientů s větší hlavou.
Buďte první, kdo napíše příspěvek k této položce.
Pouze registrovaní uživatelé mohou vkládat příspěvky. Prosím přihlaste se nebo se registrujte.
